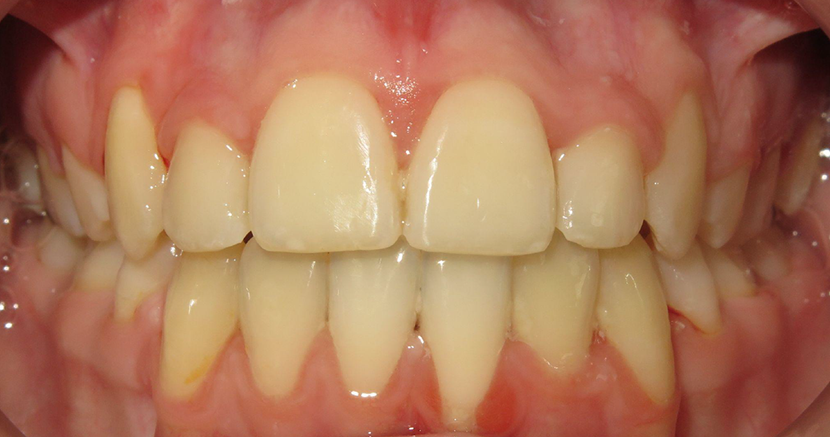
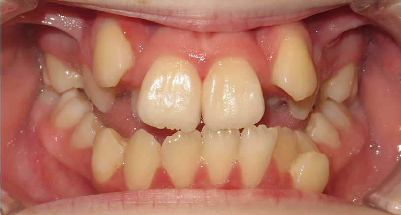
Before-and-after Braces

Great Grins from Braces

Our team is honored to be a part of your smile transformation! Nothing makes us happier than seeing our patients’ great grins.

See a preview of the results you can expect from Dr. Dunn and Dr. Schreiber at Just for Grins Orthodontics!

young teen girl with braces
Laura D

Laura D

×

Meet
Laura D

Thanks to Just for Grins, I can finally be confident in my smile. It took a lot of time but it was worth it.

Renee S.

×

Meet
Renee S.

I love Dr. Schreiber and his staff. I have my two favorite girls, and they know who they are but everyone in this office is awesome. I am very satisfied with how my mouth looks. Thank you all for being so good to me! I recommend this office to everyone!!!

Young man smiling with yellow shirt, tree and fence in the background, Just for Grins braces before and after

Jacquez M.

×

Meet
Jacquez M.

My experience was great! The entire staff is nice and super friendly! I recommend this place.

Patient Josh P of Just for Grins Orthodontics, young man smiling with black hoodie, standing in front of brick wall

Josh P.

×

Meet
Josh P.

My smile is so different in a better way! I am so happy they turned out this way!

Patient Markajah of Just for Grins Orthodontics, young woman smiling in front of tree, wearing black shirt and braids

Markajah A.

×

Meet
Markajah A.

Just for Grins Orthodontics is a great place for children and also adults. They make you feel welcome from your first appointment all the way till the end. I love Just for Grins. I would recommend them to anyone searching to find an orthodontist. They also make sure your transition is smooth and easy and make sure you are happy with the results. Thank you Dr. Dunn & Dr. Schreiber for my new beautiful smile.

Patient Sherkita of Just for Grins Orthodontics, young woman smiling with black shirt and long necklace, in front of fence and tree

Sherkita B.

×

Meet
Sherkita B.

I absolutely love this place. The staff is nice, the office is always clean. They honor the word appointment unlike most places. I usually would go on my lunch break and be In and out. Both doctors are awesome! I have recommended numerous people there. My daughter actually went and got her braces about a month after me.

Patient Sharonda, young woman with braids and black shirt, smiling in front of fence and tree

Sharonda F.

×

Meet
Sharonda F.

Before attending Just For Grins I was very insecure about my smile. I hated to take pictures. But now I am glad to smile! They are the best! Very professional, nice and friendly staff. I greatly recommend them for any orthodontic treatment. Thanks Dr. Dunn, Dr. Schreiber and staff for helping me smile again!

Patient Jada J of Just for Grins Orthodontics, young woman wearing jean jacket smiling in front of brick wall

Jada J.

×

Meet
Jada J.

My time here was amazing. I loved how everyone was excited for me. I would recommend them to anyone looking for an orthodontist to come here. Love it so much!! 10/10 highly recommended.

happy patient after orthodontic treatment

Andrew I.

×

Meet
Andrew I.

My experience with Dr. Dunn and Dr. Schreiber was awesome! The atmosphere the doctors and staff provided was professional and made you feel comfortable. They were very thorough in explaining the process and procedure of getting braces. I was so happy with the results of my braces and the care provided. I would definitely recommend using “Just For Grins!”

image of happy patient after braces

Avery H.

×

Meet
Avery H.

image of happy patient after braces

Alexandria T.

×

Meet
Alexandria T.

image of happy patient after orthodontic treatment

Deanna F.

×

Meet
Deanna F.

image of happy patient after orthodontic treatment

Ebony L.

×

Meet
Ebony L.

smiling woman

Lauri Ann I.

×

Meet
Lauri Ann I.

The office of Dr. Dunn and Dr. Schreiber made having braces a great experience for me! Between the very capable and friendly staff, the knowledge and thoroughness of the doctors, and the way in which they care about your satisfaction with the result. I would highly recommend them for all of your orthodontic needs!

image of happy patient after braces

Gabby M.

×

Meet
Gabby M.

image of happy patient after orthodontic treatment

Paige K.

×

Meet
Paige K.

My experience at Just for Grins was AMAZING. Both Dr. Dunn and Schreiber were very personable and professional. The orthodontic treatment I received changed my life by giving me security in my smile! Before I got my braces I always tried to find every way possible to hide my flawed teeth. I received treatment going into the 7th grade, I was going to be trying out for cheer, drama club and other extracurricular groups that would involve lots of talking and picture taking. I am now in college and have been finding every reason to show off my smile for years! Being confident with my smile makes me want others to have the same and Dunn and Schreiber is the place to go! From the treatment plans for each patient to all the ladies in the office it is perfect for both children and adults! It’s hard to imagine life if I wouldn’t have received treatment, I think of you every time someone complements my smile!

image of happy patient after orthodontic treatment

Eugene L.

×

Meet
Eugene L.

image of happy patient after orthodontic treatment

Jordan J.

×

Meet
Jordan J.

I loved wearing my braces so much. When I first got them I was nervous but the staff at Dunn & Schreiber Orthodontics made me feel comfortable and talked me through everything.

image of happy patient after braces

Kelvin K.

×

Meet
Kelvin K.

The year of 2013 changed my life when I started my journey at Just for Grins. I’m forever grateful for the beautiful smile that was created for me.

snapshot of a patient with braces

August S.

×

Meet
August S.

I had the most wonderful experience here. I love the staff and both doctors. Being an adult I’ve been extremely apprehensive about getting braces. I finally did in March 2017 and am so glad I did!! Got them taken off and couldn’t be more pleased!! Thank you all!!!!

snapshot of a patient

Siddhi P.

×

Meet
Siddhi P.

The atmosphere at Just For Grins is amazing. Everyone is super friendly and try to make your visits as comfortable as possible!!

polaroid of a happy patient

Lisa P.

×

Meet
Lisa P.

I had braces put on for my 50th birthday and was very nervous. This experience with Dr. Dunn, Dr. Schreiber, and the staff were so very gentle working on me. I will definitely be recommending this group to anyone. My teeth look great!!! I will miss the staff as they became friends after 2 years of visits. Thank y’all.

polaroid of a patient

Destinee A.

×

Meet
Destinee A.

I really enjoyed my experience here. I loved the staff. Everyone is really nice and helpful.  I also love my results!

polaroid of a patient

Katie A.

×

Meet
Katie A.

I have loved my experience with Dunn and Schreiber Orthodontics. I was so overcrowded and I had what they call a crisscross bite. I was told I would have to have 4 teeth pulled but they fixed them with no problem. They all straightened out. I went years without braces and my teeth would poke into my lips and my face wasn’t symmetrical. When I saw what I looked like after braces I wanted to cry. My smile was so beautiful and I never thought it could be fixed. I was in them for almost 3 years and I wouldn’t trade it for anything. They did such an amazing job that I barely recognize myself when I looked into the mirror. I would give this a 10/10 and recommend them to anyone who is in need of braces. The staff here is so very friendly! They actually talk to you and get to know you, they work around your schedule and they help you with everything you need to know about your mouth.